What Parents Need to Know About Tooth Discoloration
“Why does my child have white spots on their teeth?” This is one of the most common questions we hear from concerned parents at Dental Care Group Kids. You’re brushing your child’s teeth, and suddenly you notice white spots, chalky patches, or discoloration that wasn’t there before. Naturally, you’re worried—is it a cavity? Did something go wrong? Can it be fixed?
At Dental Care Group Kids, we’ve been helping families in Aventura and Pembroke Pines understand and treat tooth discoloration for over 25 years. The good news is that white spots on children’s teeth are common, and in many cases, they can be treated or managed effectively. Let’s explore what might be causing those spots and what you can do about them.
Worried about white spots or discoloration on your child’s teeth? Our experienced pediatric dentists near you can diagnose the cause and recommend the best treatment. Call Dental Care Group Kids today: Aventura (305) 935-1613 | Pembroke Pines (954) 430-2300.
“Are White Spots on My Child’s Teeth Cavities?”
This is often the first fear that crosses a parent’s mind. White spots can be early signs of tooth decay, but they can also be several other conditions that have nothing to do with cavities. The key is understanding the difference.
Early Cavities (Decalcification or White Spot Lesions)
If the white spots are caused by early tooth decay, they typically appear:
- Near the gumline
- Between teeth
- On areas where plaque tends to build up
- As chalky, dull-looking patches
The good news: When caught early, these white spots can actually be reversed! Unlike later-stage cavities, decalcification hasn’t yet created a hole in the tooth. With improved oral hygiene, fluoride treatments, and dietary changes, we can help remineralize the enamel and stop the decay process.
What causes these spots:
- Poor brushing habits and plaque buildup
- Eating too many sugary snacks or drinking sugary beverages
- Frequent consumption of acidic foods and drinks
- Not brushing after eating, especially with braces
What you should do: Schedule a dental appointment right away. Early intervention is key to reversing these spots before they become actual cavities.
“My Child’s Teeth Have Always Had White Spots—What Is That?”
If you’ve noticed white spots, lines, or patches on your child’s permanent teeth from the moment they came in, you might be dealing with a developmental condition rather than decay. These conditions occur while teeth are still forming beneath the gums.
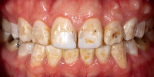
Fluorosis

Dental fluorosis is one of the most common causes of white spots that appear when permanent teeth first erupt. It happens when children are exposed to too much fluoride during the years when their permanent teeth are developing (typically before age eight).
What fluorosis looks like:
- Mild: Faint white lines, streaks, or small spots scattered across the tooth
- Moderate: Larger white patches or areas that may look chalky
- Severe: Brown discoloration or pitted areas (this is rare)
Common causes:
- Living in areas with naturally high fluoride in drinking water
- Swallowing fluoride toothpaste regularly as a young child
- Taking fluoride supplements when they weren’t needed
- Receiving professional fluoride treatments too frequently during tooth development
Important to know: Fluorosis is purely cosmetic in mild to moderate cases. The teeth are still healthy and strong. However, the discoloration is permanent and was created while the teeth were developing, so it can’t be “cured” after the teeth have already come in.
Enamel Hypoplasia
Sometimes children’s teeth don’t develop enough enamel, creating thin spots, grooves, pits, or white/yellow patches. This is called enamel hypoplasia.
What enamel hypoplasia looks like:
- White, yellow, or brown spots or bands on teeth
- Grooves or indentations in the enamel
- Teeth that look pitted or rough
- Areas where the enamel seems thin or missing
What causes it:
- Premature birth affecting normal tooth development
- High fever or serious illness during early childhood
- Nutritional deficiencies, especially vitamin D
- Certain medications taken during pregnancy or given to young children
- Trauma to baby teeth that affected the developing permanent teeth beneath them
- Genetic factors that run in families
Why it matters: Unlike fluorosis, enamel hypoplasia can affect tooth strength and function, not just appearance. Teeth with thin enamel are more vulnerable to cavities and sensitivity and may need extra protection.
Could It Be a Calcium-Related Issue?
Some parents wonder if white spots mean their child isn’t getting enough calcium. True calcium-related enamel problems (called hypocalcification) happen when the body has trouble processing calcium during tooth development, resulting in poorly mineralized enamel.
What causes calcium-related enamel problems:
- Vitamin D deficiency, which prevents the body from absorbing calcium properly
- Medical conditions like celiac disease or kidney disease
- Severe malnutrition during the tooth development years
- Chronic respiratory problems requiring frequent medication
- Repeated high fevers during critical development periods
What it looks like:
- Soft, chalky areas on teeth
- White or yellowish discoloration
- Enamel that’s more prone to decay
- Teeth that may feel rough or porous
“Are The White Spots Around My Child’s Braces Normal?”
Unfortunately, white spots around braces are very common, but they’re not “normal” in the sense that they’re healthy. These spots are almost always early cavities (decalcification) caused by plaque buildup around the brackets.
Why braces increase the risk:
- Brackets and wires create more places for food to get stuck
- Brushing becomes more difficult and time-consuming
- Many children don’t brush as thoroughly as they should
- Plaque accumulates around brackets, producing acid that damages enamel
The encouraging news: If caught early, these white spots can be reversed or minimized with:
- Improved brushing and flossing techniques
- Professional fluoride treatments
- Special remineralizing toothpastes
- Dietary changes to reduce sugar and acid exposure
Prevention is key: If your child is getting braces soon, talk to us about fluoride treatments and proper cleaning techniques before the braces go on. If you’re worried about proper brushing or if your child struggles with mobility issues, consider whether Invisalign is an appropriate alternative orthodontic treatment.
“Can White Spots on Baby Teeth Affect Permanent Teeth?”
This is an excellent question! The answer depends on what’s causing the white spots.
If baby teeth have white spots from decay: The good news is that baby teeth fall out, so cosmetic concerns are temporary. However, untreated decay in baby teeth can:
- Spread to other teeth
- Cause pain and infection
- Affect the developing permanent teeth underneath
- Lead to premature tooth loss, which can cause spacing problems
If baby teeth have white spots from developmental issues, this might indicate that permanent teeth could have similar issues, since they developed during the same time period. However, it’s not guaranteed. Every tooth develops at a slightly different time.
Bottom line: Any discoloration on baby teeth deserves a dental evaluation to rule out decay and monitor your child’s oral development.
“How Can I Prevent White Spots on My Child’s Teeth?”
Babies and Toddlers (Preventing Developmental Issues):
- Use only a rice-grain-sized smear of fluoride toothpaste until age three
- Don’t let young children swallow toothpaste
- Check if your water has high fluoride levels before giving supplements
- Ensure proper nutrition, including adequate vitamin D and calcium
- Maintain good prenatal health during pregnancy
All Ages (Preventing Decay):
- Brush twice daily with fluoride toothpaste (pea-sized amount for ages three and up)
- Floss daily, especially between tight teeth
- Limit sugary snacks and beverages
- Avoid frequent sipping on juice, soda, or sports drinks
- Rinse with water after eating
- Visit the dentist every six months for checkups and teeth cleanings
Children with Braces:
- Use special orthodontic toothbrushes or electric toothbrushes
- Floss daily with floss threaders or water flossers
- Consider fluoride mouth rinses
- Avoid sticky, hard, or sugary foods
- Get professional dental cleanings every three to four months during orthodontic treatment
- Invest in Invisalign for responsible teens, so your child can brush their teeth with no barriers
“Should I Be Worried About White Spots on My Child’s Teeth?”
The level of concern depends on the cause:
Don’t panic, but do act if:
- You notice new white spots appearing
- Spots are near the gumline or between teeth
- Your child has poor oral hygiene habits
- Your child complains of sensitivity or pain
Stay calm and schedule a routine appointment if:
- Spots have been there since the tooth erupted
- Teeth appear symmetrically affected
- Your child has no pain or sensitivity
- It’s been a while since your child’s last dental checkup
Remember: Almost all causes of white spots can be managed effectively with professional dental care. The earlier we can evaluate and treat them, the better the outcome will be for your child’s smile!
Schedule Your Child’s Appointment Today
Don’t let worries about white spots keep you up at night. Get answers and peace of mind with a comprehensive dental evaluation at Dental Care Group Kids. Our caring team is ready to help your child achieve and maintain a healthy, beautiful smile.
Contact Dental Care Group Kids at (305) 935-1613 for our Aventura dental office or (954) 430-2300 for our Pembroke Pines dental office.
We speak both English and Spanish at both locations, so your family feels comfortable and understood. Let’s work together to give your child a lifetime of healthy, confident smiles!

